디스크 석회화(Disc Calcification)?
디스크 석회화는 척추의 디스크 내에서 칼슘이 비정상적으로 침착되는 상태를 의미합니다. 일반적으로 디스크는 외부의 섬유륜과 내부의 수핵으로 구성되어 있으며, 이들 구조는 척추의 충격을 흡수하고 안정성을 제공합니다. 그러나 다양한 원인으로 인해 디스크가 손상되거나 퇴행성 변화를 겪을 경우, 수핵이 섬유륜을 통해 밀려나게 되고, 이 과정에서 염증이 발생할 수 있습니다. 이러한 염증 반응은 칼슘 침착을 유도하여 디스크 석회화를 초래합니다.
![]() |
| 디스크 석회화 |
원인
디스크 석회화는 노화에 따른 퇴행성 변화, 외상, 유전적 요인 등 다양한 원인으로 발생할 수 있습니다. 디스크의 중심부인 수핵이 섬유륜을 통해 밀려나오는 현상을 디스크 돌출이라고 합니다. 이 과정에서 염증이 발생하고, 칼슘이 침착되어 디스크 석회화가 일어납니다. 이러한 석회화는 오랜 시간에 걸쳐 형성되므로 허리디스크를 장기간 앓고 있는 환자에게 주로 나타납니다. 또한, 디스크 제거 수술 후에도 염증이 생길 수 있으므로 적절한 관리가 필수적입니다.
증상
디스크 석회화로 인해 허리 통증이 발생할 수 있으며, 신경이 압박되면 다리로 방사되는 통증이 나타날 수 있습니다. 석회화의 위치에 따라 신경 압박의 정도와 증상도 달라질 수 있습니다.
진단
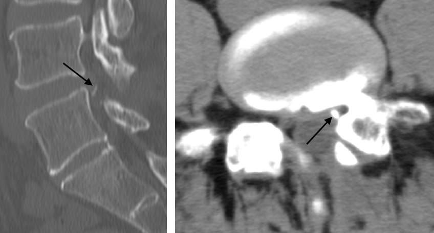
CT 스캔을 통해 석회화된 부위를 확인할 수 있습니다. 허리 통증으로 병원을 방문하면 MRI 촬영이 일반적이지만, CT 촬영도 함께 진행하는 것이 좋습니다.
치료
치료 방법은 보존적 치료(약물 치료, 물리치료 등)에서 수술적 치료까지 다양합니다. 석회화는 보존적 치료가 어려운 경우가 많아 많은 전문가들이 수술을 권장하지만, 증상의 심각성에 따라 결정해야 합니다. 체외충격파는 석회를 부수는 데 도움이 되지만, 허리디스크의 석회 위치에 충격이 효과적으로 전달되지 않는 단점이 있습니다.
우리 몸은 스스로 치유할 수 있는 능력이 있습니다. 체온이 상승하면 석회가 녹아내리며, 노폐물이 혈액으로 배출되어 세포가 재생됩니다. 운동은 혈액순환과 림프 배액을 개선하여 연조직의 칼슘 침착 제거에 도움을 줍니다. 또한, 강황, 생강, 마늘과 같은 항염증 식품을 포함한 식단은 염증을 줄이고 추가 석회화를 예방하는 데 효과적입니다. 레몬, 비타민 C 등 신 맛이 나는 음식도 석회화 제거에 도움이 됩니다.
디스크 석회화는 칼슘이 침착되어 단단해지기 때문에 보존적 치료로는 시간이 걸릴 수 있습니다. 수술을 고려할 경우 허리 신경 손상의 위험이 높으므로 신중한 결정을 해야 합니다.

No comments
Post a Comment